Table of Contents
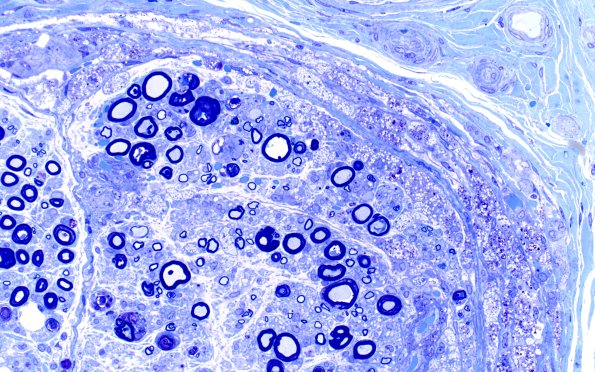
Washington University Experience | PERIPHERAL NEUROPATHY | 21 PRIMARY BILIARY CHOLANGITIS NEUROPATHY | 1B5B Primary Biliary Cirrhosis (Case 1) Best Plastic 40X 1
Multiple successively higher magnification images of another single fascicle with patchy myelinated axon loss and numerous perineurial and subperineurial circumferential macrophages. (Plastic images)
