Table of Contents
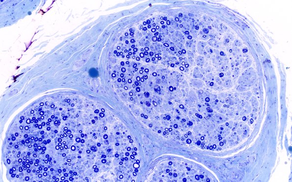
Washington University Experience | PERIPHERAL NEUROPATHY | 21 PRIMARY BILIARY CHOLANGITIS NEUROPATHY | 1B6 Primary Biliary Cirrhosis (Case 1) Plastic 20X 2
1B6,7 The areas of macrophage infiltration of the perineurium bear no consistent relationship to patches of myelinated axon loss. (Plastic sections)
