Table of Contents
Washington University Experience | PERIPHERAL NEUROPATHY | 22 VITAMIN E DEFICIENCY | 1A1 Vitamin E Def (Case 1) Plastic 100X 2 copy.jpg
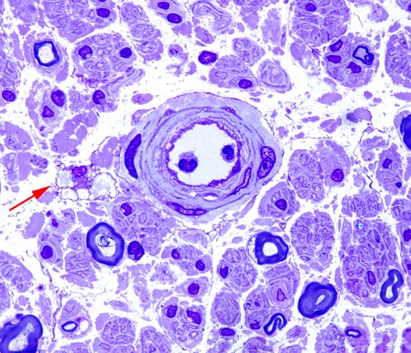
Case 1 History ---- In this case a fragment of history establishes an 11 year old with biliary atresia. ---- 1A1,2 The plastic sections of the sural nerve in this case show several vacuolated fibroblasts (arrow, 1A1) which are particularly plentiful in this case but are not specific for vitamin E deficiency. Even though there are numerous dystrophic axons they are not well visualized even with oil immersion. Although small numbers of dystrophic axons are found in neuropathies of many kinds, the frequency in vitamin E deficient states is substantially greater. (Toluidine blue stained one-micron-thick plastic embedded sections)
