Table of Contents
Washington University Experience | PERIPHERAL NEUROPATHY | 22 VITAMIN E DEFICIENCY | 1A2 Vitamin E Def (Case 1) Plastic 100X 4.jpg
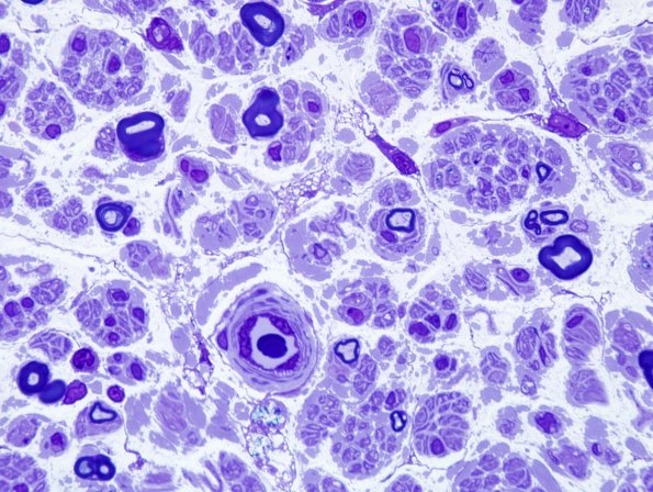
Even though there are numerous dystrophic axons they are not well visualized even with oil immersion. Although small numbers of dystrophic axons are found in neuropathies of many kinds, the frequency in vitamin E deficient states is substantially greater. (Toluidine blue stained one-micron-thick plastic embedded sections)
