Table of Contents
Washington University Experience | PERIPHERAL NEUROPATHY | 22 VITAMIN E DEFICIENCY | 1B10 Vitamin E Deficiency (Case 1) EM 001 - Copy
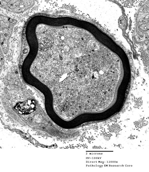
Dystrophic axons are not confined to unmyelinated axons but may form very large collections of subcellular organelles surrounded by myelin sheaths. (electron micrograph
