Table of Contents
Washington University Experience | PERIPHERAL NEUROPATHY | 22 VITAMIN E DEFICIENCY | 1B1A Vitamin E Deficiency (Case 1) EM 040 - Copy
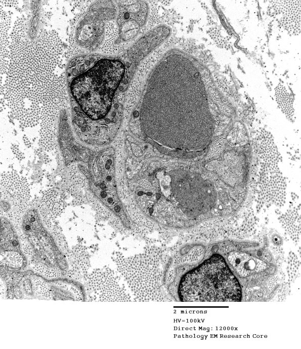
1B1A,B There are two dystrophic axons in this case which contain classical anastomosing tubulovesicular elements and a cleft (arrow, 1B2) which represent the most common appearance in this biopsy. (electron micrographs)
