Table of Contents
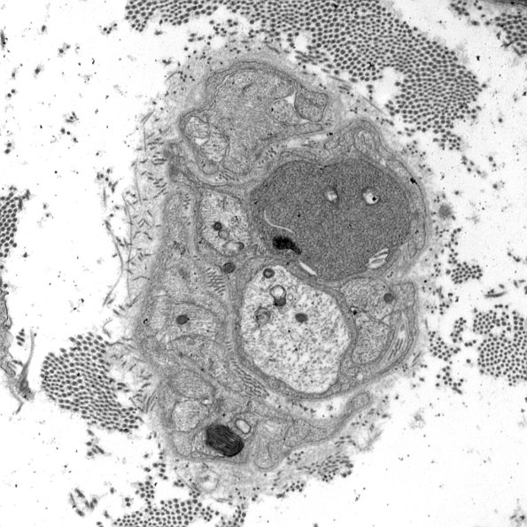
Washington University Experience | PERIPHERAL NEUROPATHY | 22 VITAMIN E DEFICIENCY | 1B2A VitE Def (Case 1)_001 - Copy
1B2A,B A similar appearance with dense axoplasm, tubulovesicular elements and clefts. (electron micrographs)
