Table of Contents



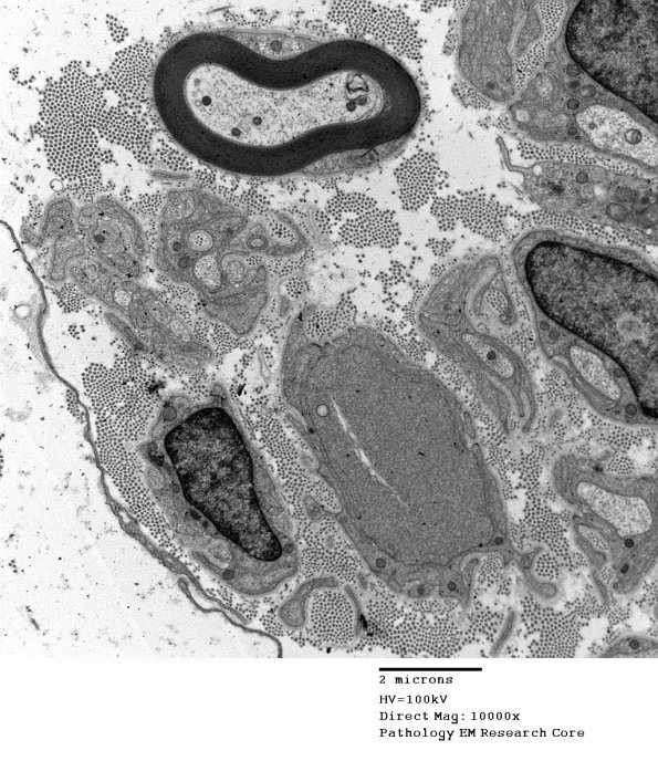
Washington University Experience | PERIPHERAL NEUROPATHY | 22 VITAMIN E DEFICIENCY | 1B5A Fig 17-10 VitE Def (Case 1)_009 - Copy

1B5A Fig 17-10 VitE Def (Case 1)_009 - Copy
1B5A,B Additional examples of neuroaxonal dystrophy. (electron micrographs)


Gallery RSS RSS Feed | Archive View | Login | Powered by Zenphoto