Table of Contents
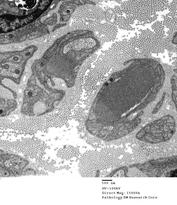
Washington University Experience | PERIPHERAL NEUROPATHY | 22 VITAMIN E DEFICIENCY | 1B6A Vit E Deficiency (Case 1)_016 - Copy
1B6A,B Multiple tubulovesicular elements are seen in two nearby dystrophic axons. In studies of the sympathetic nervous system of experimentally diabetic rats, near sequential sections show apparent dystrophic axonal splitting. (electron micrographs)
