Table of Contents



Washington University Experience | PERIPHERAL NEUROPATHY | 22 VITAMIN E DEFICIENCY | 1B6B Vit E Deficiency (Case 1)_017 - Copy

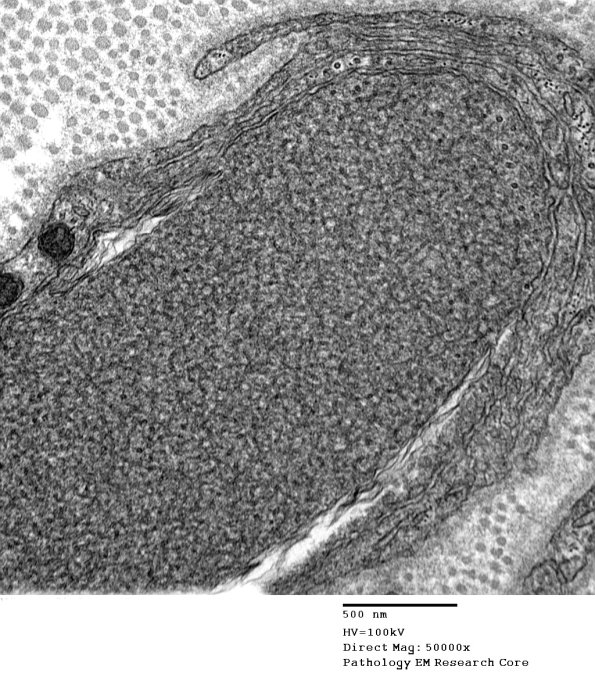
1B6B Vit E Deficiency (Case 1)_017 - Copy
Higher magnification of image #1B6A. (electron micrograph)


Gallery RSS RSS Feed | Archive View | Login | Powered by Zenphoto