Table of Contents
Washington University Experience | PERIPHERAL NEUROPATHY | 22 VITAMIN E DEFICIENCY | 1B7C VitE Def (Case 1)_004 - Copy
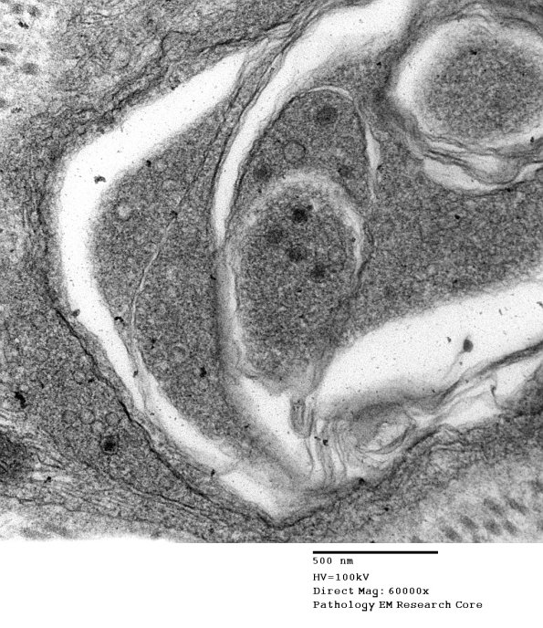
Several magnifications of an axon demonstrate a complex appearance with prominent pale clefts and a few dense core vesicles. (electron micrographs)
