Table of Contents
Washington University Experience | PERIPHERAL NEUROPATHY | 22 VITAMIN E DEFICIENCY | 1B8A VitE Def (Case 1)_010 - Copy
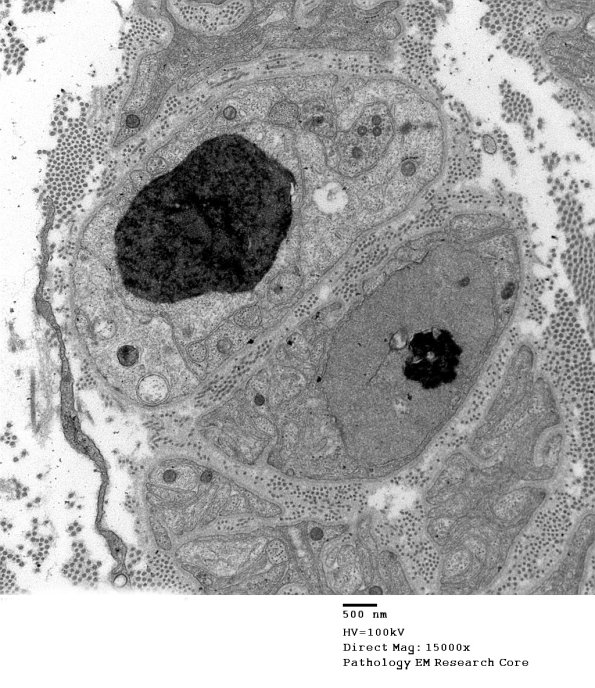
1B8A,B It is not uncommon to find dense multilamellar bodies admixed with other dystrophic elements. (electron micrographs)
