Table of Contents



Washington University Experience | PERIPHERAL NEUROPATHY | 22 VITAMIN E DEFICIENCY | 1B8B Vitamin E Deficiency (Case 1) EM 011 - Copy

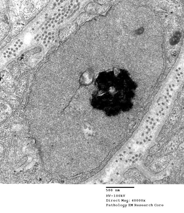
1B8B Vitamin E Deficiency (Case 1) EM 011 - Copy
Higher magnification of image #41B8A. (electron micrograph)


Gallery RSS RSS Feed | Archive View | Login | Powered by Zenphoto