Table of Contents



Washington University Experience | PERIPHERAL NEUROPATHY | 22 VITAMIN E DEFICIENCY | 1B9C Vit E Deficiency (Case 1_013 - Copy

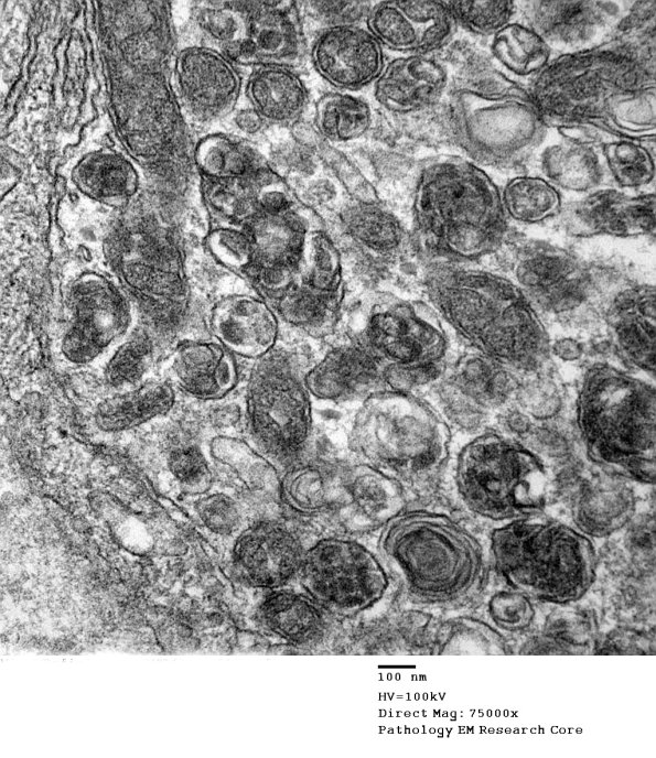
1B9C Vit E Deficiency (Case 1_013 - Copy
In this axon there is accumulation of mitochondria and autophagosomes. (electron micrographs)


Gallery RSS RSS Feed | Archive View | Login | Powered by Zenphoto