Table of Contents



Washington University Experience | PERIPHERAL NEUROPATHY | 22 VITAMIN E DEFICIENCY | 1C1 Vit E Deficiency (Case 1)_005 - Copy.jpg

1C1 Vit E Deficiency (Case 1)_005 - Copy.jpg
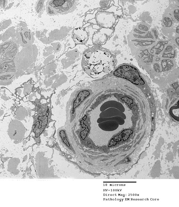
Multiple vacuolated fibroblasts and a macrophage process with pi granules. (electron micrograph)


Gallery RSS RSS Feed | Archive View | Login | Powered by Zenphoto