Table of Contents



Washington University Experience | PERIPHERAL NEUROPATHY | 22 VITAMIN E DEFICIENCY | 1C3 VitE Def (Case 1)_051 - Copy

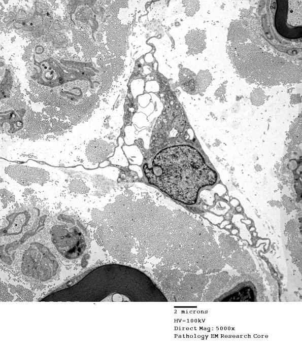
1C3 VitE Def (Case 1)_051 - Copy
Additional examples of vacuolated fibroblasts. (electron micrographs)


Gallery RSS RSS Feed | Archive View | Login | Powered by Zenphoto