Table of Contents



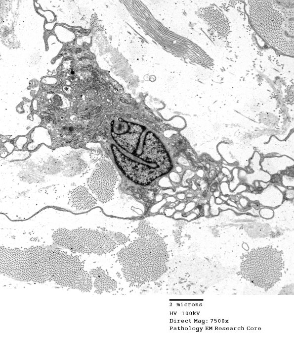
Washington University Experience | PERIPHERAL NEUROPATHY | 22 VITAMIN E DEFICIENCY | 1C4B VitE Def (Case 1)_024 - Copy

1C4B VitE Def (Case 1)_024 - Copy
Successively higher magnification images of a vacuolated fibroblast. (electron micrographs)


Gallery RSS RSS Feed | Archive View | Login | Powered by Zenphoto