Table of Contents



Washington University Experience | PERIPHERAL NEUROPATHY | 22 VITAMIN E DEFICIENCY | 1D VitE Def (Case 1)_014 - Copy

1D VitE Def (Case 1)_014 - Copy
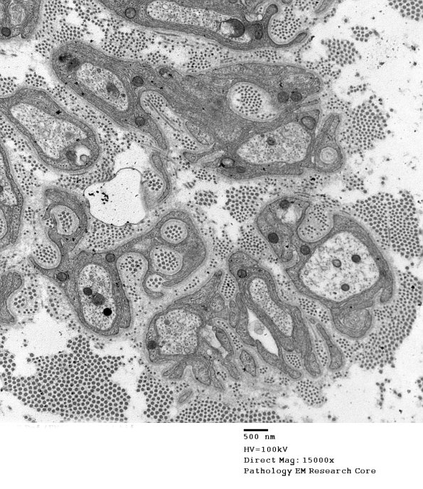
Numerous collagen pockets attest to the loss of unmyelinated axons. (electron micrograph)


Gallery RSS RSS Feed | Archive View | Login | Powered by Zenphoto