Table of Contents
Washington University Experience | PERIPHERAL NEUROPATHY | 22 VITAMIN E DEFICIENCY | 2A1 Vit E Deficiency (Case 2) - Copy
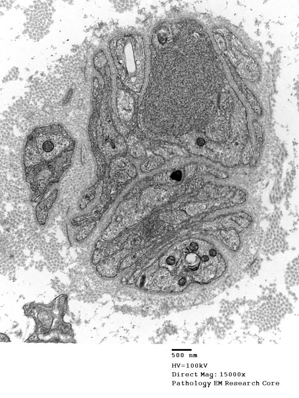
Case 2 No History ---- 2A1,2 Classical dystrophic axon with tubulovesicular elements. (electron micrographs)
