Table of Contents



Washington University Experience | PERIPHERAL NEUROPATHY | 22 VITAMIN E DEFICIENCY | 2A2 Vit E Deficiency (Case 2) - Copy

2A2 Vit E Deficiency (Case 2) - Copy
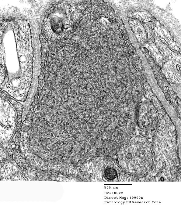
Classical dystrophic axon with tubulovesicular elements. (electron micrographs)


Gallery RSS RSS Feed | Archive View | Login | Powered by Zenphoto