Table of Contents



Washington University Experience | PERIPHERAL NEUROPATHY | 22 VITAMIN E DEFICIENCY | 2A3 Vit E Deficiency (Case 2) - Copy

2A3 Vit E Deficiency (Case 2) - Copy
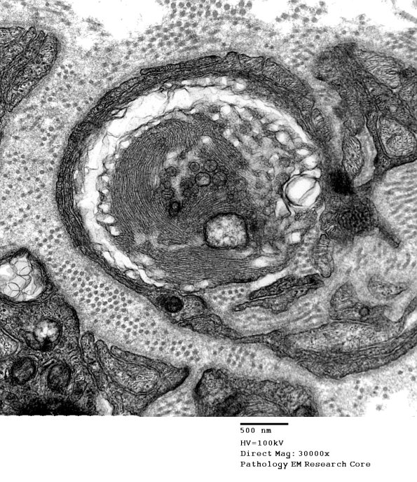
A very unusual collection of membranes. (electron micrograph)


Gallery RSS RSS Feed | Archive View | Login | Powered by Zenphoto