Table of Contents
Washington University Experience | PERIPHERAL NEUROPATHY | 22 VITAMIN E DEFICIENCY | 2A4 Vit E Deficiency (Case 2) - Copy
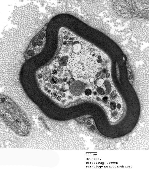
The subcellular organelles include mitochondria and autophagosomes in a myelinated axon. (electron micrograph)
