Table of Contents
Washington University Experience | PERIPHERAL NEUROPATHY | 22 VITAMIN E DEFICIENCY | 4A Vitamin E deficiency (Case 4) - Copy
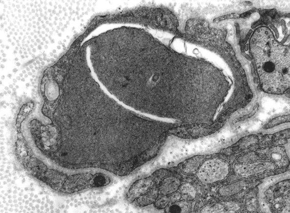
Case 4 No History ---- 4A An additional classical dystrophic axon with clefts and tubulovesicular elements. (electron micrograph)
