Table of Contents
Washington University Experience | PERIPHERAL NEUROPATHY | 3 NORMAL MYELIN & SCHWANN CELLS | 1 Myelin | 1A1 1EM 18 - Copy - Copy
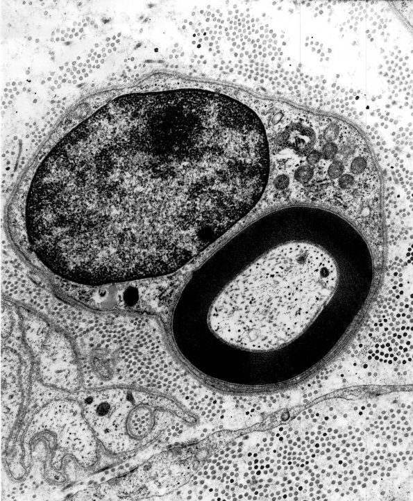
1A1,2 This small axon has a normal appearing myelin sheath in which myelin periodicity is uniform and tightly compacted. (electron micrographs)
