Table of Contents
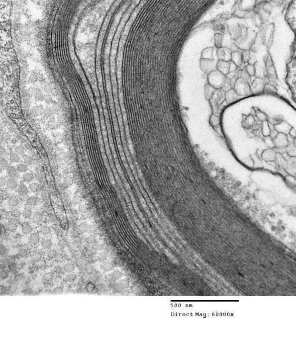
Washington University Experience | PERIPHERAL NEUROPATHY | 3 NORMAL MYELIN & SCHWANN CELLS | 1 Myelin | 2A2 Anti-MAG (Case 2) EM014 - Copy
An example of wide-spaced myelin in which there is a varying degree of the involvement of the lamellae. In this case the low magnification image is subtle; although higher magnification reveals the WSM. (electron micrographs).
