Table of Contents



Washington University Experience | PERIPHERAL NEUROPATHY | 3 NORMAL MYELIN & SCHWANN CELLS | 1 Myelin | 4A POEMS (Case 4) - Copy

4A POEMS (Case  4) - Copy
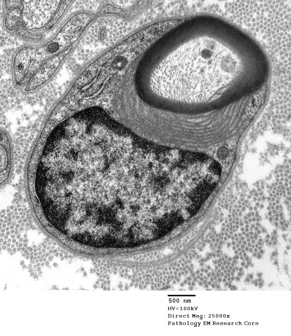
An example of uncompacted myelin from a case of POEMS syndrome. (electron micrograph)


Gallery RSS RSS Feed | Archive View | Login | Powered by Zenphoto