Table of Contents
Washington University Experience | PERIPHERAL NEUROPATHY | 3 NORMAL MYELIN & SCHWANN CELLS | 1 Myelin | 5A Two tone Myelin (Case 5) Plastic 1 1 (2) copy.jpg
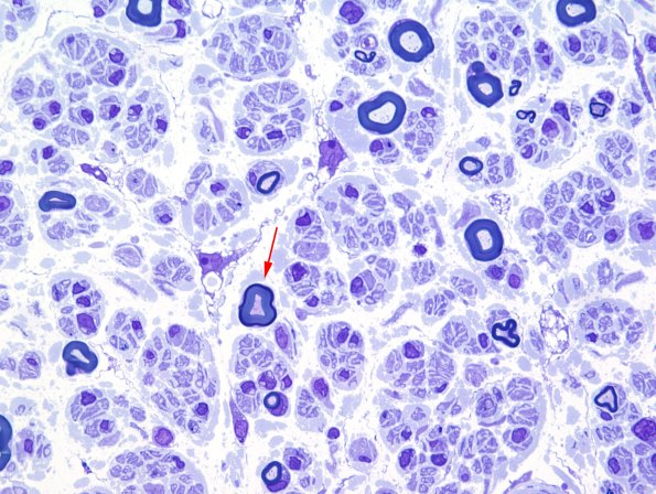
This plastic section appears to show a myelinated axon (arrow) with an alteration in myelin periodicity. (One micron thick toluidine blue stained plastic section)
