Table of Contents
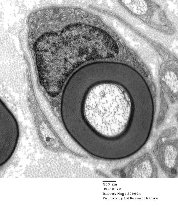
Washington University Experience | PERIPHERAL NEUROPATHY | 3 NORMAL MYELIN & SCHWANN CELLS | 1 Myelin | 6A1 Two-tone myelin, Paraprotein NP (Case 6) EM 046 - Copy
6A1-4 This unusual axon shows two-tone myelin which is not accompanied by an abnormality in myelin periodicity, thought to reflect osmium penetration problems. (electron micrographs)
