Table of Contents
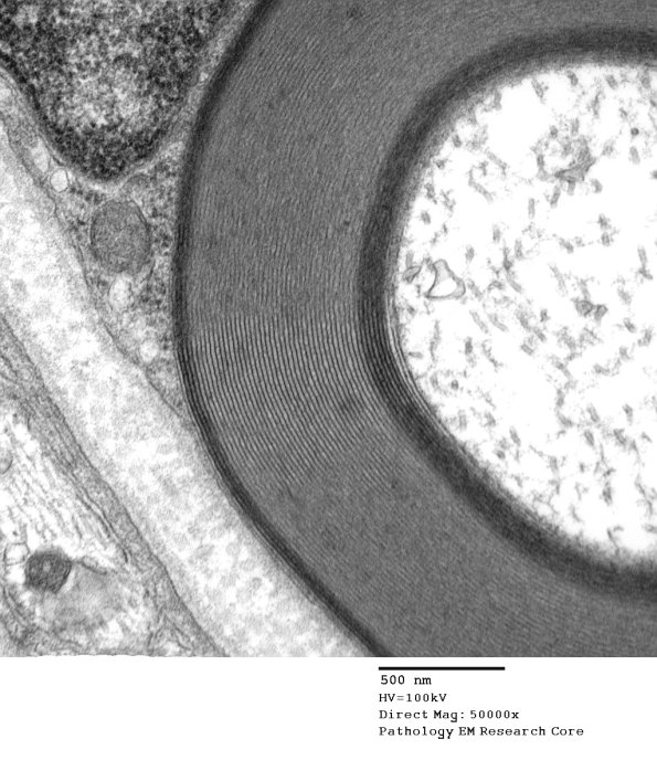
Washington University Experience | PERIPHERAL NEUROPATHY | 3 NORMAL MYELIN & SCHWANN CELLS | 1 Myelin | 6A2 Two-tone myelin, Paraprotein NP (Case 6) EM 047 - Copy
This unusual axon shows two-tone myelin which is not accompanied by an abnormality in myelin periodicity. (electron micrograph)
