Table of Contents



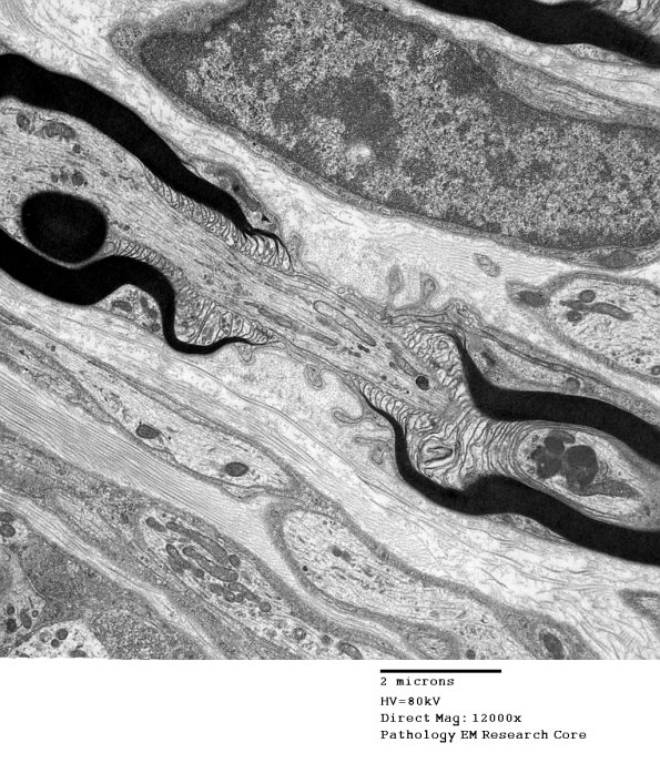
Washington University Experience | PERIPHERAL NEUROPATHY | 3 NORMAL MYELIN & SCHWANN CELLS | 2 Node of Ranvier | 11A2 Normal Node of Ranvier (Case 9) EM A_168 - Copy

11A2 Normal Node of Ranvier (Case 9) EM A_168 - Copy
Higher magnification of image #11A1. (electron micrograph)


Gallery RSS RSS Feed | Archive View | Login | Powered by Zenphoto