Table of Contents
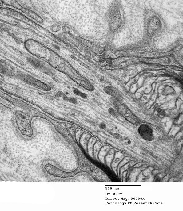
Washington University Experience | PERIPHERAL NEUROPATHY | 3 NORMAL MYELIN & SCHWANN CELLS | 2 Node of Ranvier | 11A4 Normal Node of Ranvier (Case 9) EM A_171 - Copy
Notice the node is enclosed in the Schwann cell basal lamina. (electron micrograph)
