Table of Contents
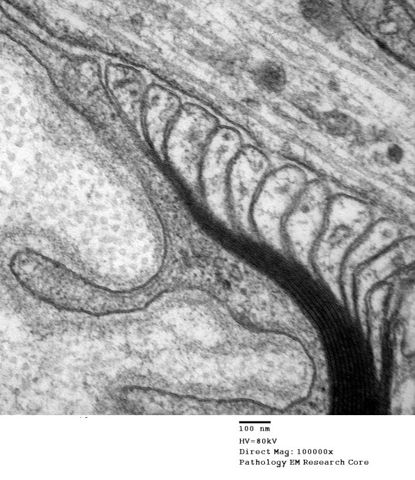
Washington University Experience | PERIPHERAL NEUROPATHY | 3 NORMAL MYELIN & SCHWANN CELLS | 2 Node of Ranvier | 11A8 Normal Node of Ranvier (Case 9) EM A_174 - Copy
These high magnification images show the myelin loops interacting with adjacent axolemma which has sub-axolemmal densities. (electron micrograph)
