Table of Contents
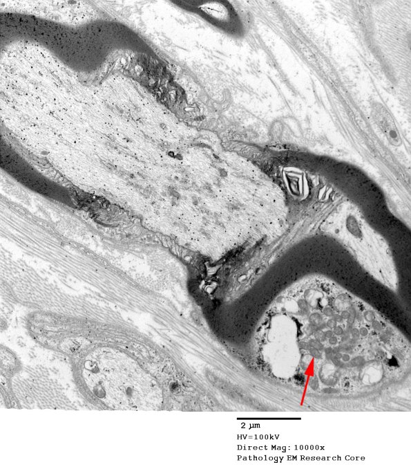
Washington University Experience | PERIPHERAL NEUROPATHY | 3 NORMAL MYELIN & SCHWANN CELLS | 2 Node of Ranvier | 12A1 Node of Ranvier, Diabetic NP (Case 2) EM021 copy - Copy
12A 1-5 Multiple nodes from a patient in which the tissue was well preserved and oriented. (electron micrographs) ---- 12A1 A collection of mitochondria in the paranode (arrow) in the longitudinal section of this node. (electron micrograph)
