Table of Contents
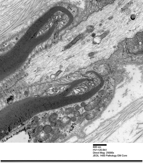
Washington University Experience | PERIPHERAL NEUROPATHY | 3 NORMAL MYELIN & SCHWANN CELLS | 2 Node of Ranvier | 12A2 Node Ranvier (Case 2 longitudinal 012 - Copy
12A2,3 Note the prominent microvilli (arrow, 12A3). (electron micrographs)
