Table of Contents
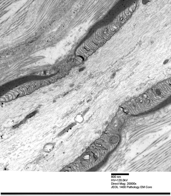
Washington University Experience | PERIPHERAL NEUROPATHY | 3 NORMAL MYELIN & SCHWANN CELLS | 2 Node of Ranvier | 14A1 Node Ranvier (Case 2 longitudinal 002 - Copy
14A1,2 A node with well preserved Schwannian microvilli. (electron micrographs)
