Table of Contents
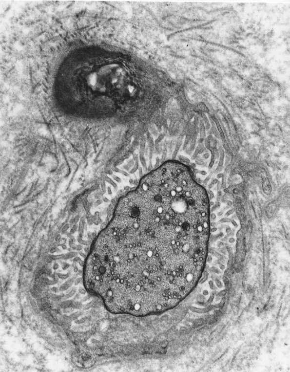
Washington University Experience | PERIPHERAL NEUROPATHY | 3 NORMAL MYELIN & SCHWANN CELLS | 2 Node of Ranvier | 3A1 Node of Ranvier - Copy
3A1,2 This ultrastructural image taken in cross section through the center of the node shows numerous delicate circumferential Schwannian microvilli. The axon is characterized by a typical appearance with increased density of axoplasm, neurofilaments, microtubules, mitochondria, autophagosomes and endoplasmic reticulum. In many cases the axolemma and circumferential sub-axolemmal density is particularly osmiophilic and thickened. (electron micrographs)
