Table of Contents
Washington University Experience | PERIPHERAL NEUROPATHY | 3 NORMAL MYELIN & SCHWANN CELLS | 2 Node of Ranvier | 4A1 Case 3 EM 009 - Copy
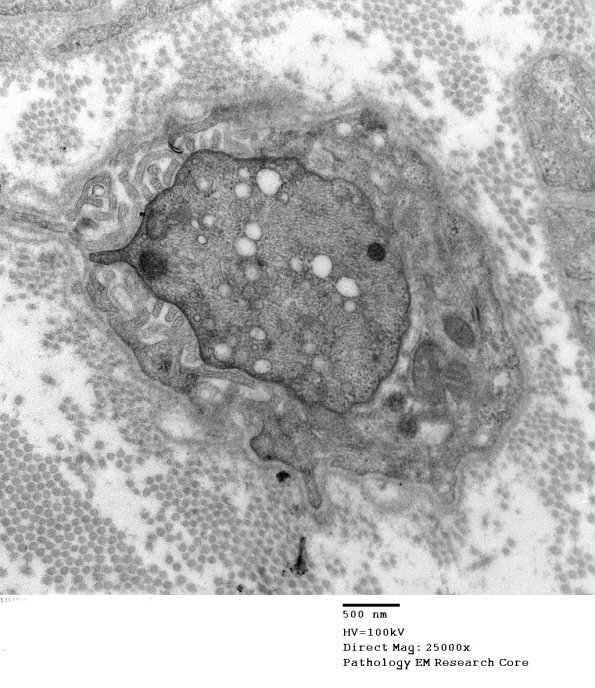
4A1,2 The appearance of a node from another patient is quite similar and has a prominent sub-axolemmal increase in density.
