Table of Contents



Washington University Experience | PERIPHERAL NEUROPATHY | 3 NORMAL MYELIN & SCHWANN CELLS | 2 Node of Ranvier | 4A2 Case 3 EM 010 - Copy

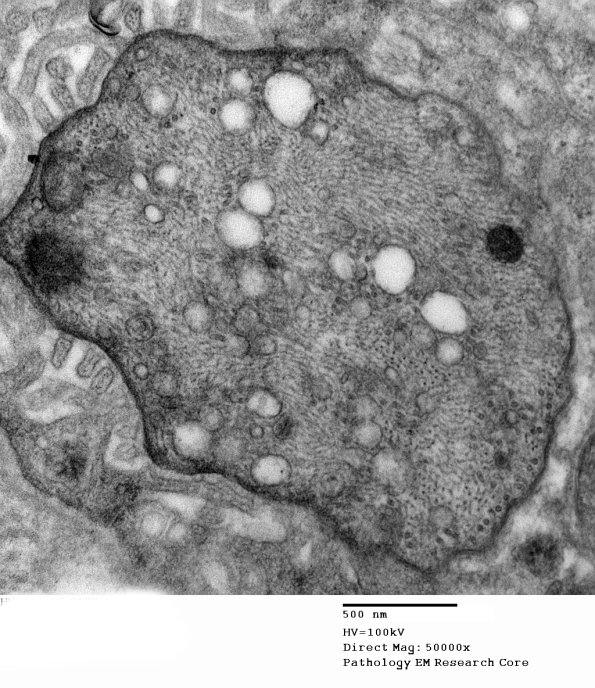
4A2 Case 3 EM 010 - Copy
Higher magnification of image #4A1. (electron micrograph)


Gallery RSS RSS Feed | Archive View | Login | Powered by Zenphoto