Table of Contents
Washington University Experience | PERIPHERAL NEUROPATHY | 3 NORMAL MYELIN & SCHWANN CELLS | 2 Node of Ranvier | 7A1 Case 6 EM 021 - Copy
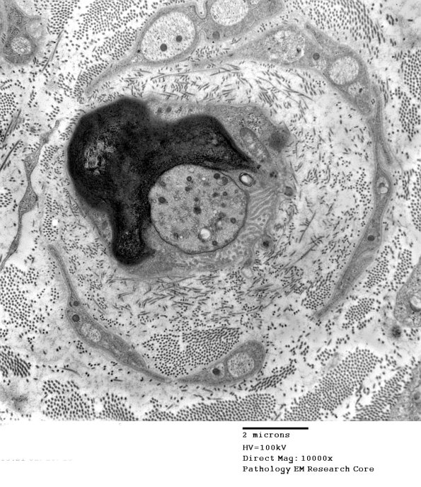
7A1,2 In some cases there is asymmetry of the myelin sheath and the microvilli may only occupy a portion of the axonal circumference. (electron micrographs)
