Table of Contents



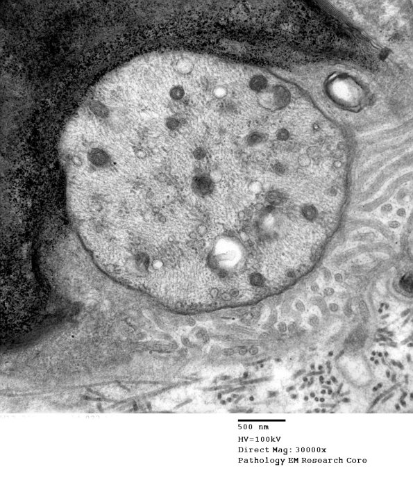
Washington University Experience | PERIPHERAL NEUROPATHY | 3 NORMAL MYELIN & SCHWANN CELLS | 2 Node of Ranvier | 7A2 Case 6 EM 023 - Copy

7A2 Case 6 EM 023 - Copy
Higher magnification of image #7A1. (electron micrograph)


Gallery RSS RSS Feed | Archive View | Login | Powered by Zenphoto