Table of Contents
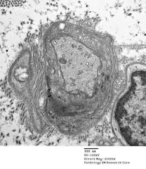
Washington University Experience | PERIPHERAL NEUROPATHY | 3 NORMAL MYELIN & SCHWANN CELLS | 2 Node of Ranvier | 8A1 Axonal Degeneration Case 7 EM 060 - Copy (2)
8A1-3 The node of Ranvier shows a similar increase in axonal contents and some variation in the appearance of the microvilli. (electron micrographs)
