Table of Contents
Washington University Experience | PERIPHERAL NEUROPATHY | 3 NORMAL MYELIN & SCHWANN CELLS | 2 Node of Ranvier | 8A3 Axonal Degeneration Case 7 EM 063 copy.jpg
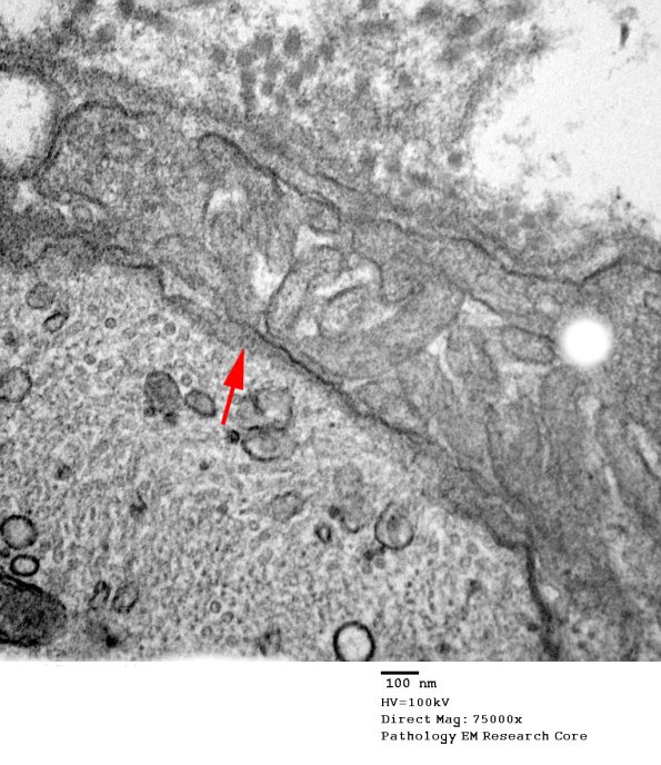
The sub-axolemmal density (arrow) contributes to the overall dense appearance of the axon. (electron micrograph)
