Table of Contents
Washington University Experience | PERIPHERAL NEUROPATHY | 3 NORMAL MYELIN & SCHWANN CELLS | 2 Node of Ranvier | 8A4 Axonal Degeneration Case 7 EM copy.jpg
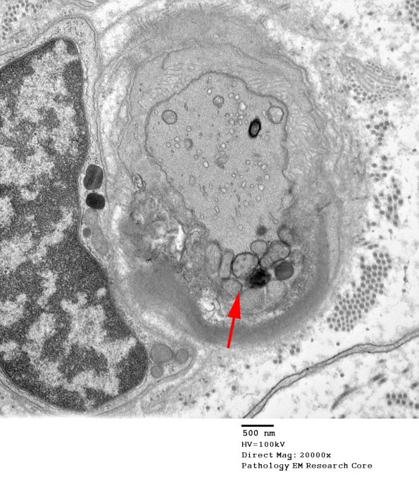
An asymmetric section shows scattered subcellular organelles on one side of the node (arrow) and microvilli on the other. (electron micrograph)
