Table of Contents
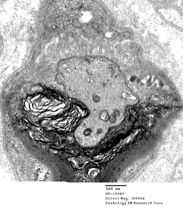
Washington University Experience | PERIPHERAL NEUROPATHY | 3 NORMAL MYELIN & SCHWANN CELLS | 2 Node of Ranvier | 9A1 Node of Ranvier, half myelinated, subaxolemmal densities (Case 8) - Copy
9A1,2 Many nodes may be asymmetrically cut and produce a questionable appearance of a node but the axolemma, microvilli and increase in axonal organelles is evidence for its presence (electron micrographs)
