Table of Contents
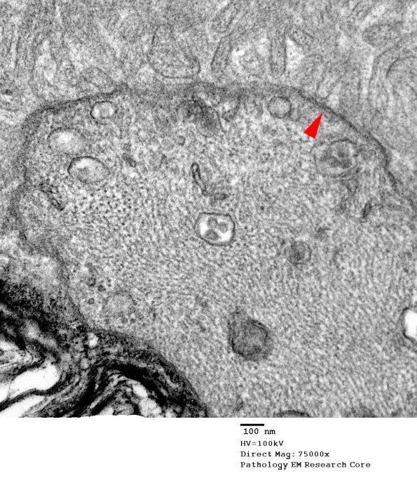
Washington University Experience | PERIPHERAL NEUROPATHY | 3 NORMAL MYELIN & SCHWANN CELLS | 2 Node of Ranvier | 9A2 Node of Ranvier, subaxolemmal densities (Case 8) EM 035 copy - Copy
Many nodes may be asymmetrically cut and produce a questionable nodal appearance but the increased thickness of the axolemma (arrowhead), microvilli and increase in axonal organelles is evidence for its presence. (electron micrographs)
