Table of Contents
* Check/uncheck all *
City
Country
Description
Location/Place
State
Tags
Title
Washington University Experience
|
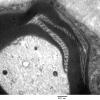
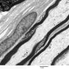
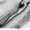
PERIPHERAL NEUROPATHY
|
3 NORMAL MYELIN & SCHWANN CELLS
|
3 Schmidt-Lanterman Clefts
« prev
1
2
3
next »
Gallery RSS
|
Archive View
|
Login
|
Powered by
Zenphoto