Table of Contents



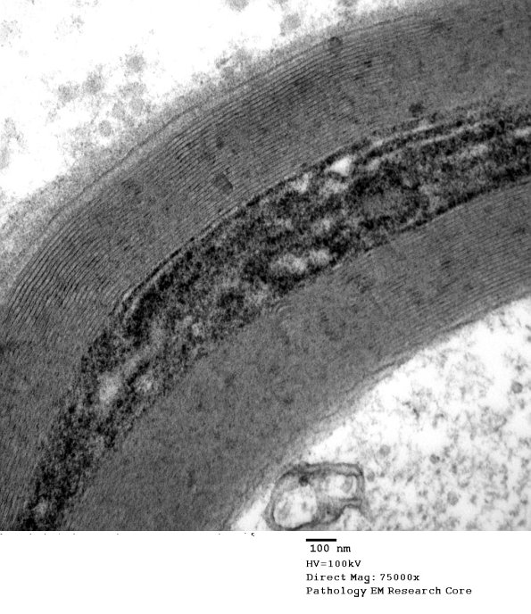
Washington University Experience | PERIPHERAL NEUROPATHY | 3 NORMAL MYELIN & SCHWANN CELLS | 3 Schmidt-Lanterman Clefts | 10B4 S-LC (Case 10) EM 158 - Copy

10B4 S-LC (Case 10) EM 158 - Copy
Higher magnification of image #10B1. (electron micrograph)


Gallery RSS RSS Feed | Archive View | Login | Powered by Zenphoto