Table of Contents



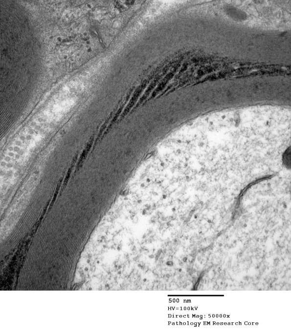
Washington University Experience | PERIPHERAL NEUROPATHY | 3 NORMAL MYELIN & SCHWANN CELLS | 3 Schmidt-Lanterman Clefts | 10C2 SLC (Case 10) EM 163 - Copy

10C2 SLC (Case 10) EM 163 - Copy
Higher magnification of image #10C1. (electron micrograph)


Gallery RSS RSS Feed | Archive View | Login | Powered by Zenphoto