Table of Contents
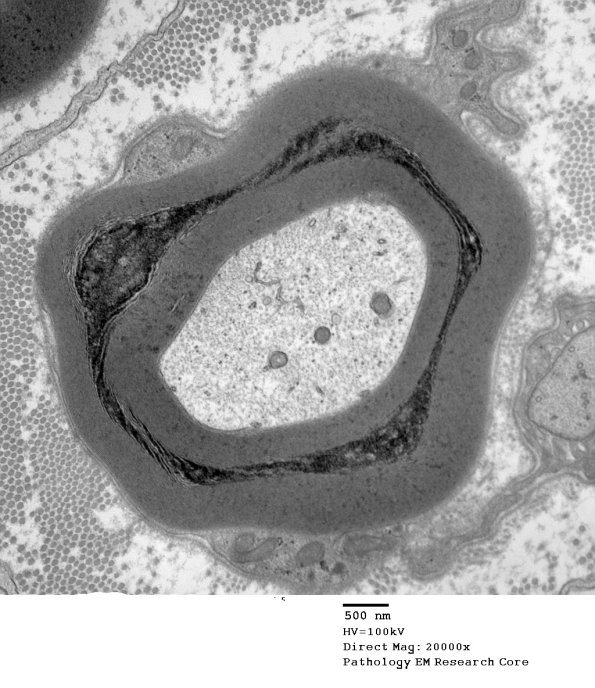
Washington University Experience | PERIPHERAL NEUROPATHY | 3 NORMAL MYELIN & SCHWANN CELLS | 3 Schmidt-Lanterman Clefts | 10E SLC (Case 10) EM 167 - Copy
Multiple examples of circumferential SCL at several magnifications from the same case rich in them. (Electron micrographs)
