Table of Contents
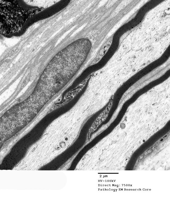
Washington University Experience | PERIPHERAL NEUROPATHY | 3 NORMAL MYELIN & SCHWANN CELLS | 3 Schmidt-Lanterman Clefts | 3A3 Schmidt-Lanterman cleft, diabetic NP (Case 3) EM 062 - Copy
A nearby pair of SLC along the same axon which appear artificially disorganized but clearly represent SCL. (Electron micrograph)
